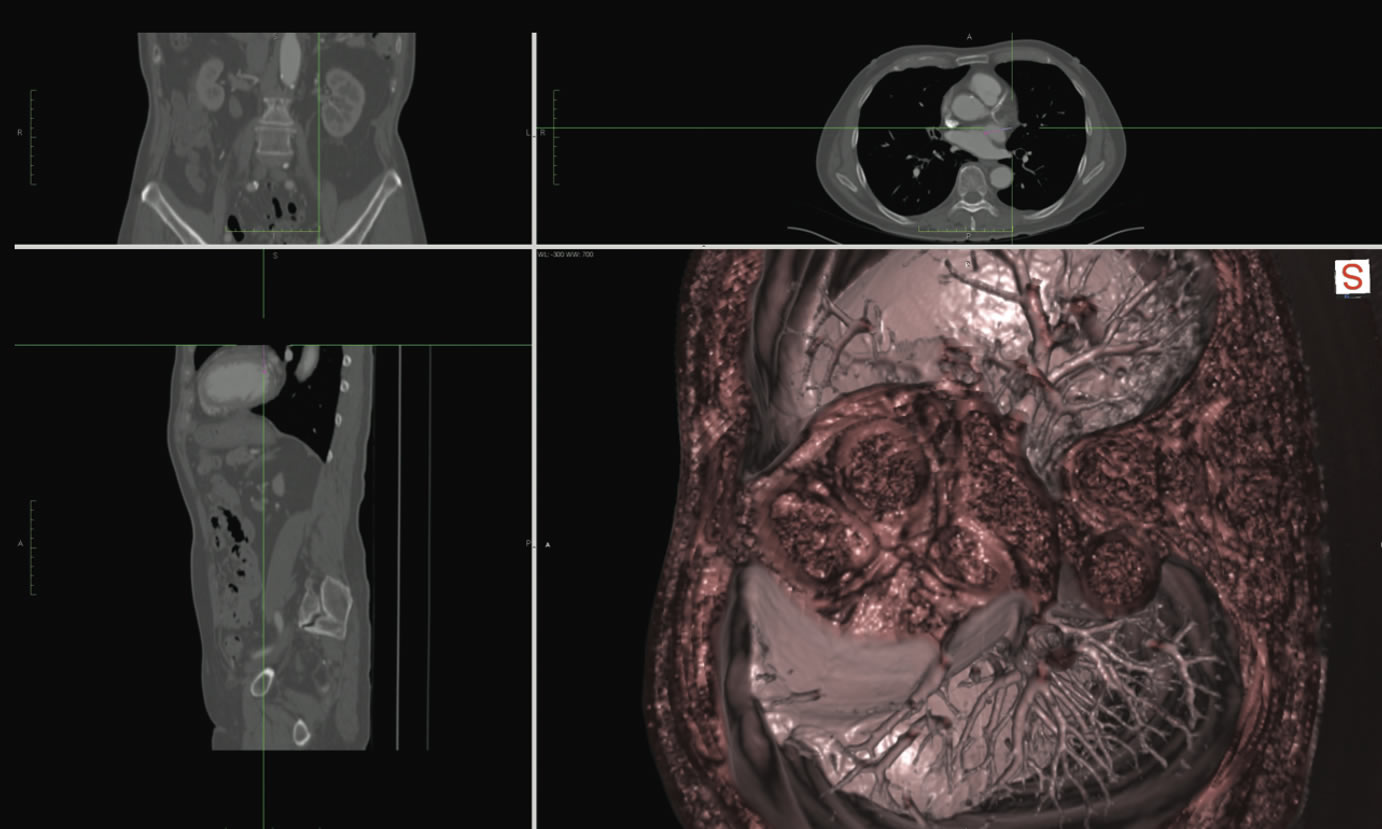
Load Bearing CT

can receive
many detectors

Producing many different imaging modalities

Motion corrected 3D stereotactic CT Multi-axis 3D scanner Fusion scanner


LOGO

Mission: “To employ effective automation and advanced imaging methods and help resolve current challenges in the human diagnostics, industrial imaging and objective evaluation of meat quality in the meatpacking industry”

contact info

Email: info@kinemagine.gr

Phone: +302651002015